日经中文网
NIKKEI——日本经济新闻中文版

  • 20xx 水曜日

  • 0708

  • 搜索
Home > 产业聚焦 > 科学/技术 > 日本有望利用iPS细胞治疗软骨缺损

日本有望利用iPS细胞治疗软骨缺损

2023/06/12

PRINT

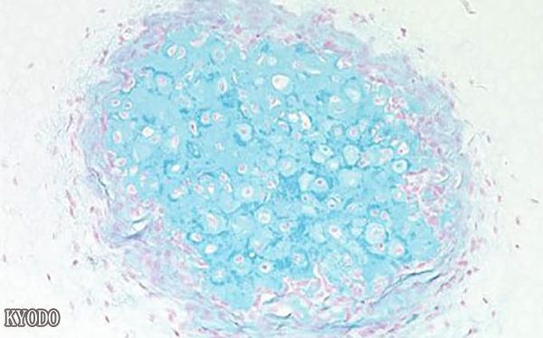
      6月10日,日本京都大学及佐贺大学的研究团队宣布,利用iPS细胞成功制造出了软骨组织。连接软骨的细胞块时几天就会融合,因此将来可能有利于治疗缺损严重的软骨。如果软骨发生损伤,会造成关节疼痛等,难以修复。

   

利用iPS细胞制造出的软骨组织(京都大学提供)

   

      研究团队利用iPS细胞制造出有能力分化为骨头和软骨的“间叶系干细胞”。通过给间叶系干细胞添加特殊的化合物等,逐步分化为了软骨组织。

 

      研究团队将制造出的软骨组织移植到小鼠身上,观察了8周。软骨组织没有钙化成骨头,保持了软骨的性质。研究团队认为“利用此次开发的方法,可以利用iPS细胞大量稳定地制造软骨组织”。

 

      Kyodo

版权声明:日本经济新闻社版权所有,未经授权不得转载或部分复制,违者必究。

报道评论

非常具有可参考性
 
0
具有一般参考性
 
0
不具有参考价值
 
0
投票总数: 1

日经中文网公众平台上线!
请扫描二维码,马上关注!

HotNews

金融市场

日经225指数54245.54-2033.5103/04close
日经亚洲300i2593.96-134.2703/04close
美元/日元157.29-0.1203/0500:11
美元/人民元6.8964-0.002803/0411:38
道琼斯指数48521.7620.4903/0410:06
富时10010550.32066.19003/0415:01
上海综合4082.4740-40.202003/04close
恒生指数25249.48-518.6003/04close
纽约黄金5107.4-187.003/03close

关于日经指数