日经中文网
NIKKEI——日本经济新闻中文版

  • 20xx 水曜日

  • 0708

  • 搜索
Home > 产业聚焦 > 科学/技术 > NEC用AI诊断食道癌,准确度超9成

NEC用AI诊断食道癌,准确度超9成

2021/06/01

PRINT

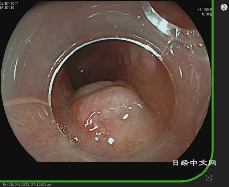
       NEC将推出利用人工智能(AI)发现食道癌前兆的医疗系统。由AI实时分析食道癌风险加大的病变的内窥镜图像,帮助医生发现肿瘤。NEC近期取得了欧盟销售认证“CE标志,在全球首次成功实现了产品化。将于2021年内面向欧洲医疗机构等销售。

 

NEC开发的判断食道癌肿瘤的系统

 

       NEC在欧洲消化器官内窥镜领域与英国著名教授合作,让AI学习了食道癌危险容易升高的巴雷特食管100多万张内窥镜图像。NEC的面部认证技术曾在美国国立研究所的精度评估测试中排在世界首位。采用这种高精度技术,可以捕捉到用肉眼难以识别的巴雷特食管的颜色和质感等肿瘤特征。

 

       据悉检出肿瘤的准确度在9成以上,不管医生经验如何,都有望实现高效检查。巴雷特食管是食道与胃边界附近产生的粘膜组织的变化,被认为是食道癌发病风险升高的特征。初期肿瘤的特征极其微小,即使是经验丰富的医生也很难发现,检查给患者造成的身体负担等也很大。因此,也有报告称,最多漏掉了4成的癌症。

 

       虽然在大肠癌检查等领域使用AI的内窥镜图像诊断技术不断推进开发,但据NEC介绍,用AI检测巴雷特食管肿瘤的技术成功达到实用化尚为全球首次。可以通过将配备软件的终端设备及显示器连接到现有内窥镜上使用。

 

       NEC于1月实现了利用AI检测大肠癌及其前兆的系统,并涉足相关医疗器械的销售。今后还将把基于AI的图像分析系统推广到胃癌检查等,预计以日本和欧洲为中心,5年后相关业务实现100亿日元的销售额。

 

版权声明:日本经济新闻社版权所有,未经授权不得转载或部分复制,违者必究。

报道评论

非常具有可参考性
 
5
具有一般参考性
 
0
不具有参考价值
 
1
投票总数: 7

日经中文网公众平台上线!
请扫描二维码,马上关注!

HotNews

金融市场

日经225指数54245.54-2033.5103/04close
日经亚洲300i2593.96-134.2703/04close
美元/日元156.96-0.4503/0501:36
美元/人民元6.8964-0.002803/0411:38
道琼斯指数48797.64296.3703/0411:31
富时10010559.61075.48003/0416:26
上海综合4082.4740-40.202003/04close
恒生指数25249.48-518.6003/04close
纽约黄金5107.4-187.003/03close

关于日经指数