3 वर्षाच्या मुलाच्या फुप्फुसातून काढला LED बल्ब; मुलांनी नाणी, बॅटरी, चुंबक गिळल्यास काय करायचं?

नवजात आणि लहान मुलांमध्ये वस्तू तोंडात घालणे आणि चव घेणे हे त्यांच्या नैसर्गिक वाढीचा एक भाग असतो. मात्र, याच वर्तनामुळे अनेकदा मुलं अशा वस्तू गिळतात ज्या शरीरासाठी घातक ठरू शकतात. नाणं, खेळणी, बटण बॅटरी, दागिने अशा अनेक वस्तू मुलांच्या पोटात जातात आणि त्यातून गंभीर वैद्यकीय अडचणी निर्माण होऊ शकतात. या घटनांमध्ये गेल्या काही वर्षांत मोठी वाढ झाली आहे आणि त्यामुळे पालकांची जागरुकता अत्यंत गरजेची ठरते.
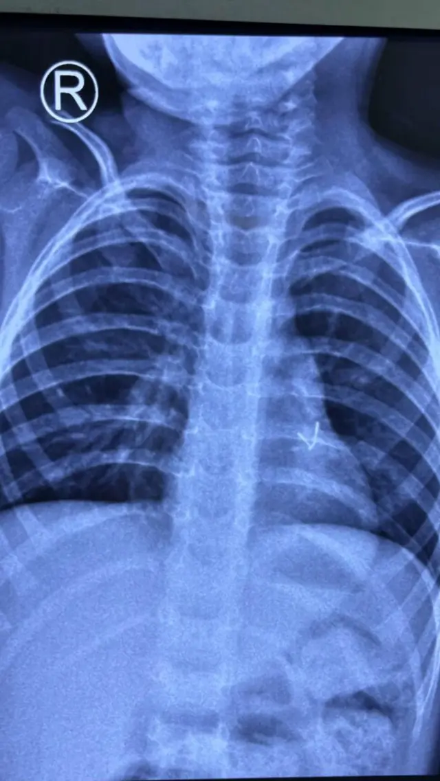
एका दुर्मिळ व असाधारण वैद्यकीय केसमध्ये जसलोक हॉस्पिटल अँड रिसर्च सेंटरमधील डॉक्टरांनी साडेतीन वर्षांच्या मुलाच्या फुफ्फुसात अडकलेला धातूचा एलईडी बल्ब यशस्वीरीत्या काढला.
यामुळे तीन महिन्यांपासून त्याला सतत खोकला आणि श्वसनाचा होत असलेला त्रास अखेर दूर झाला. राहुल (गोपनीयतेसाठी नाव बदलले आहे) सुरुवातीला निदान झालेल्या न्यूमोनिया आजाराने ग्रस्त होता आणि अँटीबायोटिक्सचे अनेक औषधोपचार करण्यात आले.
मोठ्या प्रमाणात काळजी घेतल्यानंतर देखील, त्याची लक्षणे कायम राहिली. त्यानंतर त्याची सखोल तपासणी करण्यात आली. यात सीटी स्कॅन करण्यात आले. यामधून त्याच्या डाव्या ब्रोन्कसमध्ये खोलवर धातूचा तुकड्यासारखा भाग असल्याचे आढळून आले.

कोल्हापूरात फ्लेक्सिबल ब्रॉन्कोस्कोपीच्या अयशस्वी प्रयत्नांनंतर या मुलाला जसलोक हॉस्पिटलमध्ये आणण्यात आले, जेथे ब्रॉन्कोस्कोपीमध्ये गिळण्यात आलेला एलईडी बल्ब ब्रोन्कस मध्ये आढळून आला.
त्यानंतर डॉ. विमेश राजपूत आणि डॉ. दिव्य प्रभात यांनी मिनी थोरॅकोटॉमी (4सेमी कट) केली, ज्यामुळे खेळण्यांच्या गाडीतून गिळलेला एलईडी बल्ब यशस्वीरित्या काढून टाकण्यात आला आणि मुलाच्या फुफ्फुसांचे कार्य पूर्ववत करण्यात आले. ॲनेस्थेसियोलॉजी सल्लागार डॉ. अनुराग जैन यांनीही या शस्त्रक्रियेत भाग घेतला.
याबाबत बोलताना जसलोक हॉस्पिटलमधील थोरॅसिस सर्जन डॉ. विमेश राजपूत म्हणाले, "आम्ही ऑपरेट केलेली ही सर्वात दुर्मिळ केस होती. एलईडी बल्ब फुफ्फुसामध्ये खोलवर गेला होता आणि समकालीन उपचार पद्धती तो बल्ब बाहेर काढण्यामध्ये अयशस्वी ठरल्या. काळजीपूर्वक नियोजन केलेल्या मिनी थोरॅकोटॉमीसह आम्ही सुरक्षितपणे एलईडी बल्ब बाहेर काढला आणि मुलाला जीवनदान मिळाले.''

फोटो स्रोत, Getty Images
आता अशाच काही घटनांबद्दल माहिती घेऊ. सिडनी विद्यापीठाच्या अभ्यासात 400 हून अधिक बटण बॅटरी गिळण्याच्या घटनांची नोंद झाली. एका प्रकरणात 2 वर्षांपेक्षा लहान असलेल्या मुलाने 20 मिमी बॅटरी गिळली होती आणि फक्त दोन तासांत अन्ननलिकेत तीव्र जळजळ सुरू झाली.
बॅटरी वेळेवर न काढल्यामुळे अंतर्गत रक्तस्राव होण्याचा धोका 8 पट वाढतो. अशा घटनांपैकी 9% प्रकरणांमध्ये मुलं मृत्युमुखी पडली. यामध्ये बहुतांशवेळा अंतर्गत रक्तस्राव हे कारण होतं.

फोटो स्रोत, Getty Images
कोलोराडोमधील चिल्ड्रन्स हॉस्पिटलमध्ये एका लहान मुलाला नाणं गिळल्यामुळे दाखल करण्यात आलं. बहुतेक वेळा नाणं नैसर्गिकरित्या शरीरातून बाहेर पडतं, पण या प्रकरणात ते अन्ननलिकेत अडकलं होतं.
डॉक्टरांनी सांगितलं की अशा वस्तू 24 तासांच्या आत काढल्या गेल्या पाहिजेत, अन्यथा रक्तस्राव किंवा जखम होण्याचा धोका असतो. यावरुन एकूणच जगभरात या घटना घडत असल्याचं दिसतं. त्यामुळे लहान मुलांच्या आरोग्यासाठी याकडे लक्ष देणं आवश्यक आहे.
कोणत्या वस्तू गिळल्या जातात?
- नाणं
- बटण बॅटरी (button cell)
- लहान खेळणी किंवा त्यांचे तुकडे
- दागिने
- पेन्सिलचे टोक, पिन, क्लिप्स

फोटो स्रोत, Getty Images/BBC
लहान मुलांनी धातूच्या वस्तू, नाणी किंवा मोठ्या बिया गिळणं त्यांच्या जीवावर बेतू शकतं का याबद्दल आम्ही जसलोक रुग्णालयाच्या डॉ. विमेश राजपूत यांच्याशी चर्चा केली. डॉ. राजपूत हे जसलोक हॉस्पिटल अँड रिसर्च सेंटर येथे रोबोटिक थोरासिक सर्जन म्हणून कार्यरत आहेत.
ते म्हणाले, "आपल्या शरीराची रचना आधी लक्षात घेतली पाहिजे. एक श्वासनलिका असते तर दुसरी अन्ननलिका असते. अन्ननलिकेत असा घटक म्हणजे फॉरिन बॉडी गेल्यास तो शौचावाटे येण्याची शक्यता जास्त असते. अगदीच कमीवेळा रुग्णांवर शस्त्रक्रिया करण्याची वेळ येते. पण असा घटक, वस्तू श्वासनलिकेत गेली तर मात्र मात्र ते जीवावर बेतू शकतं आणि लवकरात लवकर वैद्यकीय उपचार घेण्याची गरज पडते. रुग्णाच्या कफातून ती बाहेर आली तर ठीक असतं. मात्र लहान मुलांच्या बाबतीत ते अवघड आहे. त्यामुळे लहान मुलांना अशा वस्तूंपासून दूर ठेवलं पाहिजे."
हाच प्रश्न आम्ही नवी मुंबईच्या अपोलो हॉस्पिटल्समधील वरिष्ठ तज्ज्ञ आणि बालरोगविभागाचे प्रमुख डॉ. विजय येवले यांना विचारला.
ते म्हणाले, "फॉरेन बॉडी (म्हणजे अशाप्रकारच्या वस्तू) लहान मुलांनी नाकातोंडात घालणं अगदी अनेकदा होतं. विशेषतः तीन ते सहा वर्षे वयाच्या मुलांमध्ये हे प्रमाण जास्त असतं. आता या वस्तू जीवावर बेततील का हे त्यांचा आकार त्यातील रासायनिक घटकांवर अवलंबून असतं. नाणं गिळल्यास अन्ननलिकेत अडथळा येऊ शकतो. मोठ्या आकाराच्या बिया श्वासनलिकेमध्ये अडकू शकतात. मात्र बटण बॅटरीसारख्या वस्तूंमधून द्रवगळती होऊ शकते. त्यामुळे तेथे भोकही पडू शकते. चुंबकाचाही असाच परिणाम होतो."
लहान मुलांनी अशा वस्तू गिळल्यावर काय करायचं?
याबाबत डॉ. विजय येवले म्हणाले, "मुलांनी अशी वस्तू गिळली आहे असं लक्षात आल्यावर त्यांच्याकडे तत्काळ वैद्यकीय उपचार केले पाहिजेत. काही मुलांमध्ये याची लक्षणं दिसत नाहीत. त्यांनी नाण्यांसारखी वस्तू गिळली असेल तर न घाबरता वैद्यकीय उपचार घ्यावेत. ती वस्तू बाहेर यावी किंवा उलटी व्हावी यासाठी मुलाला कोणतेही पदार्थ खायला देऊन उपचार करू नयेत, त्यामुळे गुंतागुंतीची स्थिती तयार होते."
डॉ. राजपूत सांगतात, "जर ही वस्तू मुलाच्या अन्ननलिकेत गेली असेल तर मूल रडेल आणि काहीवेळानं ते शांत होईल. त्यानंतर तुम्ही डॉक्टरांकडे जाऊन छाती आणि पोटाचा एक्सरे काढाला आणि ते सांगतील तसे उपचार घ्यावेत. जर ही वस्तू त्याच्या श्वासनलिकेत गेली असेल तर मात्र मूल रडेल पण त्याचा आवाज वेगळा असेल. त्याला श्वास घ्यायला त्रास होईल. अगदी गंभीर स्थितीत बाळ-मूल निळे पडू शकते. त्यामुळे डॉक्टरांची तात्काळ मदत घ्यावी."
उपचार काय?
डॉ. विमेश राजपूत सांगतात, "जर अन्ननलिकेतून अशी वस्तू गेली असल्यास 90 टक्के बाबतीत ती पोटात जाते. मग केळ्यासारखी जास्त तंतुमय पदार्थ असणारी फळं खाणं किंवा लॅक्झेटिव्ह म्हणजे रेचक घेतल्यामुळे शौचाद्वारे ते बाहेर पडू शकतं. काही बाबतीत अप्पर गॅस्ट्रोइंटेस्टाइनल स्कोपीची गरज असते. यामध्ये पोटात कॅमेरा पाठवून वस्तू काढली जाते. दुर्मिळ स्थितीत शस्त्रक्रियेची गरज पडते."
श्वासनलिकेमध्ये वस्तू गेल्यास काय करावे लागते याबद्दल डॉ. राजपूत म्हणाले, "जर वस्तू श्वासनलिकेत गेली असल्यास उपचारांची गरज असते. जर कफावाटे वस्तू बाहेर आली नाही तर ब्राँकोस्कोपी केली जाते. अगदी दुर्मिळ स्थितीत छातीची शस्त्रक्रीया केली जाते."
लहान मुलांनी अशा वस्तू गिळण्याच्या घटनांमध्ये गेल्या काही वर्षांत लक्षणीय वाढ झाली आहे. या घटनांमुळे निर्माण होणाऱ्या वैद्यकीय गुंतागुंत टाळण्यासाठी पालकांची सजगता आणि घरातील सुरक्षिततेची काळजी घेणं अत्यावश्यक ठरतं.
डॉक्टरांच्या मते, अशा प्रसंगी वेळेवर उपचार मिळणं जितकं महत्त्वाचं आहे, तितकंच महत्त्वाचं आहे ते म्हणजे अशा घटना होऊच नयेत यासाठी आधीच खबरदारी घेणं गरजेचं आहे.
(बीबीसीसाठी कलेक्टिव्ह न्यूजरूमचे प्रकाशन.)











