MRI मशीनमध्ये माणूस का ओढला जाऊ शकतो? MRI मशीन काम कसं करतं?

फोटो स्रोत, Getty Images
- Author, अमृता दुर्वे
- Role, बीबीसी मराठी
- वाचन वेळ: 4 मिनिटे
61 वर्षांच्या एका माणसाचा एमआरआय (MRI) मशीनमध्ये ओढलं गेल्याने अमेरिकेत मृत्यू झाला. का? कारण ही व्यक्ती एमआरआय सुरू असताना गळ्यामध्ये भलीमोठी चेन घालून त्या रूममध्ये शिरली आणि मशीनमध्ये ओढली गेली.
आरोग्य तपासणीसाठीच्या एका उपकरणात असं का झालं?
एमआरआय करून घेणं ही आता तर एक सामान्य प्रक्रिया आहे. अनेक आजारांच्या निदानासाठी डॉक्टर एमआरआय करायला सांगतात.
हे MRI मशीन आणि तंत्रज्ञान काम कसं करतं? आणि कोणत्या परिस्थितीत या एमआरआय मशीनमध्ये आयुष्याला धोका निर्माण होऊ शकतो?
1930 च्या दशकात फिलिक्स ब्लॉख आणि एडवर्ड पर्सेल यांनी न्यूक्लिअर मॅग्नेटीक रिझोनन्स म्हणजेच NMR चा शोध लावला. अणुंवर चुंबकीय क्षेत्राचा काय प्रभाव होतो, याचा हा अभ्यास होता.
यासाठी त्यांना 1952मध्ये नोबेल पुरस्काराने सन्मानित करण्यात आलं. याच एनएमआरवर आजच्या काळातला एमआरआय आधारित आहे.
1971 मध्ये डॉ. रेमंड डमाडियन यांनी या चुंबकीय क्षेत्राच्या तंत्राचा वापर आजारांचं निदान करण्यासाठी केला. त्यांनी एक मशीन तयार केलं.
या मशीनला त्यांनी नाव दिलं होतं 'इनडॉमिटेबल', म्हणजे कठीण परिस्थितीतही पराभव न होणारं. हे होतं जगातलं पहिलं एमआरआय मशीन.

फोटो स्रोत, Getty Images
एमआरआय मशीन कसं काम करतं?
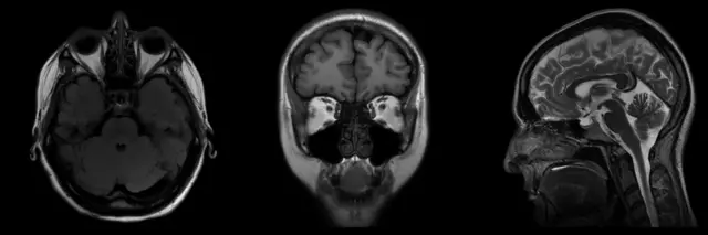
एमआरआय म्हणजे 'मॅग्नेटीक रिझोनन्स इमेजिंग'. एखाद्या व्यक्तीच्या शरीरातल्या अवयव आणि ऊतींचा तपशीलवार फोटो काढण्यासाठी 'इमेजिंग' या तंत्राचा वापर केला जातो. एक्सरे किंवा सीटी स्कॅनप्रमाणे एमआरआय करण्यासाठी रेडिएशनचा वापर केला जात नाही.
मॅग्नेटीक फिल्ड म्हणजे चुंबकीय क्षेत्र आणि कम्प्युटरच्या मदतीने निर्माण करण्यात आलेल्या रेडिओ लहरी वापरून हे इमेजिंग केलं जातं.
बहुतेक एमआरआय मशीन्स ही मोठ्या नळकांड्याच्या आकाराची असतात. रुग्णाला याच्या आत आडवं करून सरकवलं जातं. त्याआधी रुग्णाला 'गॅडोपेंटेटेट' इंजेक्शन दिलं जातं. यातल्या 'काँट्रास्ट एजंट'मुळे एमआरआय स्कॅन करताना अधिक स्पष्ट दृश्य मिळायला मदत होते.
आपल्या शरीरात पाणी आणि फॅट्स म्हणजे चरबीचं प्रमाण अधिक असतं. यामध्ये मोठ्या प्रमाणात हायड्रोजनचे अणु असतात. एमआरआय करण्यामध्ये या हायड्रोजनच्या अणुंची भूमिका महत्त्वाची असते.
एमआरआय मशीनच्या आतमध्ये तीव्र चुंबकीय क्षेत्र तयार केलं जातं. या चुंबकीय क्षेत्रामुळे रुग्णाच्या शरीरातले हायड्रोजनचे अणु एका दिशेला होतात.
त्यानंतर मग रेडिओ लहरी शरीरात पाठवल्या जातात. यामुळे हायड्रोजनच्या अणुंच्या रचनेला धक्का बसतो. रेडिओ लहरी बंद केल्या की हायड्रोजनचे अणु पुन्हा आधीच्या स्थितीत येतात. आणि या प्रक्रियेदरम्यान त्यातून संदेश पाठवला जातो.
हे सिग्नल्स रेडिओ फ्रिक्वेन्सी कॉईल्स (Radio Frequency Coils) नावाच्या विशेष उपकरणाद्वारे टिपले जातात. कॉम्प्युटर या सिग्नल्सवर प्रक्रिया करून त्यातून शरीराच्या अंतर्गत रचनेचं तपशीलवार चित्र तयार करतो.
या पद्धतीमुळे मेंदू, स्नायू, हृदय आणि सॉफ्ट टिश्यूज् असणाऱ्या शरीराच्या आतल्या इतर अवयवाचं स्पष्ट चित्र मिळू शकतं. म्हणूनच याच्याशी संबंधित रोगांच्या निदानासाठी एमआरआय चाचणी करणं महत्त्वाचं ठरतं.
एमआरआय कधी केला जातो?

फोटो स्रोत, Getty Images
- ट्यूमर, स्ट्रोक, मल्टिपल स्क्लेरोसिस आणि पाठीच्या मणक्याच्या दुखापतींच्या निदानासाठी मेंदू आणि पाठीच्या कण्याचा एमआरआय केला जातो.
- लिगामेंट टेअर, संधिवात, हाडांमधला संसर्ग आणि दुखापतींसाठी सांधे आणि हाडांचा एमआरआय केला जातो.
- हृदयरोग, हृदविकारानंतरची हृदयाची स्थिती, धमन्यांमधलं ब्लॉकेज तपासण्यासाठी हृदय आणि रक्तवाहिन्यांचा एमआरआय केला जातो.
- यकृत आणि मूत्राशयाचे विकार, गर्भाशय वा प्रॉस्टेटची तपासणी करण्यासाठी, कॅन्सर शोधण्यासाठी पोटाचा आणि ओटीपोटाचा एमआरआय करतात.
- तर शरीरातल्या विविध अवयवांमधले ट्यूमर्स शोधण्यासाठी, कॅन्सर किती पसरलाय हे तपासण्यासाठीही एमआरआय केला जातो.
एमआरआय यंत्र कधी धोकादायक ठरू शकतं?

फोटो स्रोत, Getty Images
मग इतके सगळे जीवघेणे आजार शोधण्यासाठी मदत करणारी यंत्रणाच जीवासाठी धोका कधी निर्माण करू शकते?
या एमआरआयचं तंत्रच आधारित आहे प्रचंड क्षमतेच्या चुंबकीय क्षेत्रावर. म्हणूनच रुग्णाला इथे आत पाठवण्याच्या आधी अंगावरचे कपडे बदलून हॉस्पिटल गाऊन घालायला सांगितलं जातं. कारण त्याला हुक्स आणि बटणं नसतात. अंगावर कोणत्याही प्रकारचा धातू नाही ना, हे काळजीपूर्वक तपासलं जातं.
तुमच्या शरीराच्या आत कोणत्याही प्रकारचा धातू, म्हणजे दातांना लावलेली कॅप, मेटल रॉड, क्लिप्स, हृदयासाठीचा पेसमेकर किंवा मग कोणत्याही प्रकारचा इम्प्लांट आहे का, हे विचारलं जातं.
अशांसाठी एमआरआय सहसा सुरक्षित नसतो, पण आता आधुनिक तंत्रज्ञानामुळे काही एमआरआय सेफ पेसमेकर्स आणि इम्प्लांट आलेले आहेत. ते बसवलेली व्यक्ती एमआरआय करू शकते.
महिला रुग्णांचा एमआरआय करण्यापूर्वी त्यांना त्या प्रेग्नंट आहेत का, हे विचारलं जातं. प्रेग्नन्सीच्या ठराविक महिन्यांनंतर गरोदर महिला एमआरआय करू शकतात, त्यासाठी विशेष काळजी घेतली जाते.
याशिवाय ज्यांना Claustrophobia आहे, म्हणजे बंदिस्त जागांमध्ये ज्यांना घाबरल्यासारखं होतं, त्यांना या एमआरआय मशीनमध्ये त्रास होऊ शकतो.
एमआरआय करताना मशीनमधल्या कॉईल्समुळे आतमध्ये आवाज होतात, त्यानेही त्रास होण्याची, घाबरून जाण्याची शक्यता असते.
पण एमआरआय मशीन्स 3डी इमेजही तयार करू शकतात आणि ती वेगवेगळ्या कोनांमधून, बाजूंनी पाहता येऊ शकतात.
रेडिओलॉजिस्ट म्हणजे हे स्कॅन्स अभ्यासणारे डॉक्टर्स तुमचे स्कॅन्स पाहून त्याचं विश्लेषण करतात. त्याचा रिपोर्ट तयार करतात आणि मग तो तुम्हाला तुमच्या डॉक्टरना दाखवण्यासाठी दिला जातो.
(बीबीसीसाठी कलेक्टिव्ह न्यूजरूमचे प्रकाशन.)











